Trang thông tin tổng hợp
  • Mới nhất Xem nhiều
  • Hotline: 1600 1600
Trang thông tin tổng hợp
  • Thú Cưng
  • Ẩm Thực
  • Nghỉ Dưỡng
  • Chia Sẻ
  • Hình Ảnh Đẹp
  • Làm Đẹp
  • Phong Thủy
  • Cây Cảnh
Thú Cưng Ẩm Thực Nghỉ Dưỡng Chia Sẻ Hình Ảnh Đẹp Làm Đẹp Phong Thủy Cây Cảnh
  • Sự Biến Mất Của "Số 10 Cổ Điển": Lời Chia Tay Những Nghệ Sĩ Cuối Cùng
  • Cập Nhật Tin Chuyển Nhượng Chelsea nhắm Fermin Lopez
  • Dàn Sao Trẻ Hứa Hẹn Bùng Nổ Tại World Cup 2026
  • Vì Sao Bảo Mật Tài Khoản Online Ngày Càng Quan Trọng?
  • Giải mã sức hút của các nền tảng giải trí trực tuyến đối với giới trẻ
  • Arsenal và thương vụ rủi ro Karim Adeyemi ở Ngoại hạng Anh
Thứ 6, ngày 16 tháng 8, 2019, 8:36:21 Chiều
  1. Trang chủ
  2. CHIA SẺ

Lâu không tẩy giun có sao không? Tìm hiểu sự nguy hiểm

avatar
lý Mộ Tư Thư
06:40 01/12/2024
Nhiều người trong chúng ta thường không chú trọng đến việc tẩy giun định kỳ, mặc dù đây là một vấn đề sức khỏe quan trọng. Bài viết này sẽ giúp bạn hiểu rõ hơn về các nguy cơ khi không tẩy giun lâu, cũng như các biện pháp phòng ngừa hiệu quả. 20 năm không tẩy giun, bệnh nhân 60 tuổi loét dạ dày, viêm tá tràng vì nhiễm giun lươn

1. Tại Sao Phải Tẩy Giun Định Kỳ?

20 năm không tẩy giun, bệnh nhân 60 tuổi loét dạ dày, viêm tá tràng vì nhiễm giun lươn

1.1. Nguy Cơ Từ Ký Sinh Trùng

Giun là một trong những loại ký sinh trùng phổ biến nhất ở con người. Chúng có thể sống trong cơ thể người mà không gây triệu chứng rõ rệt ngay lập tức. Tuy nhiên, khi số lượng giun trong cơ thể tăng lên, chúng có thể gây ra nhiều vấn đề sức khỏe nghiêm trọng.

1.2. Chu Kỳ Sống Của Giun

Giun thường có chu kỳ sống phức tạp, trong đó chúng có thể phát triển từ trứng thành ấu trùng và sau đó thành giun trưởng thành. Nếu không được tẩy giun thường xuyên, ký sinh trùng này sẽ sinh sản và phát triển trong cơ thể, dẫn đến các biến chứng:
  • Tổn thương hệ tiêu hóa: Giun có thể gây viêm loét, đau bụng, tiêu chảy hoặc táo bón.
  • Thiếu dinh dưỡng: Giun hút chất dinh dưỡng từ cơ thể, gây ra tình trạng thiếu hụt vitamin và khoáng chất.
  • Ảnh hưởng đến sức khỏe tổng quát: Sự hiện diện của giun có thể gây ra các triệu chứng như mệt mỏi, suy nhược cơ thể.

2. Trường Hợp Bệnh Nhân P.T.X: Cảnh Giác Từ Thực Tế

2.1. Tình Trạng Bệnh Nhân

Một trường hợp điển hình là bệnh nhân P.T.X, 60 tuổi, đã không tẩy giun suốt hơn 20 năm. Mặc dù bệnh nhân không có thói quen ăn rau sống hay đi chân đất, nhưng tình trạng sức khỏe đã trở nên nghiêm trọng do nhiễm giun lươn.
  • Triệu chứng: Bệnh nhân nhập viện với đau bụng, tiêu chảy kéo dài, và mề đay toàn thân.
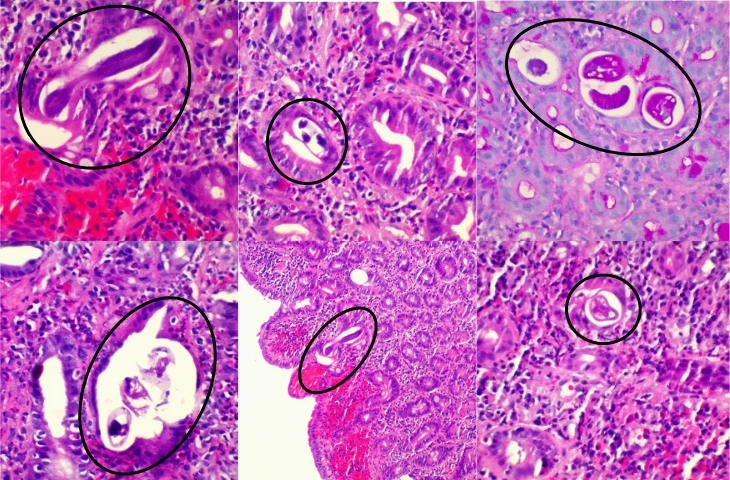
  • Chẩn đoán: Qua nội soi, bác sĩ phát hiện bệnh nhân bị xung huyết, loét hang vị dạ dày và viêm đỏ tá tràng. Kết quả sinh thiết cho thấy nhiều ấu trùng giun lươn.

2.2. Điều Trị

Sau khi nhập viện, bệnh nhân được điều trị tích cực, kết hợp giữa điều trị nhiễm khuẩn và các bệnh lý nền. Sau hai tuần điều trị, bệnh nhân đã hồi phục và xét nghiệm giun lươn âm tính. Điều này cho thấy tầm quan trọng của việc phát hiện và điều trị sớm.

3. Không Tẩy Giun Lâu Có Sao Không? Nguy Cơ Đối Với Sức Khỏe

3.1. Nguy Cơ Tái Phát Bệnh

Theo bác sĩ Nguyễn Hải Ánh, bệnh giun lươn có chu kỳ tự nhiễm. Nếu không điều trị triệt để, nguy cơ tái phát bệnh là rất cao. Điều này đặc biệt nguy hiểm với những người có sức đề kháng yếu hoặc nhiều bệnh nền.

3.2. Tác Động Đến Các Cơ Quan Khác

Giun không chỉ gây hại cho hệ tiêu hóa mà còn có thể xâm nhập vào các cơ quan khác như tim, phổi, và não. Điều này có thể dẫn đến các biến chứng nghiêm trọng và tốn kém cả về thời gian và chi phí điều trị.

4. Cách Phòng Ngừa Hiệu Quả

4.1. Tẩy Giun Định Kỳ

  • Lịch tẩy giun: Nên tẩy giun ít nhất mỗi 6 tháng một lần để đảm bảo sức khỏe.
  • Sử dụng thuốc tẩy giun: Sử dụng các loại thuốc tẩy giun theo hướng dẫn của bác sĩ.

4.2. Thực Hành Vệ Sinh Cá Nhân

  • Rửa tay thường xuyên: Nhất là trước khi ăn và sau khi đi vệ sinh.
  • Sử dụng nước sạch: Đảm bảo nước uống và thực phẩm được xử lý an toàn.

4.3. Kiểm Tra Sức Khỏe Định Kỳ

  • Khám sức khỏe: Nên đi khám sức khỏe định kỳ để phát hiện sớm các dấu hiệu nhiễm giun.
  • Theo dõi triệu chứng: Nếu có các triệu chứng như đau bụng, tiêu chảy, hoặc nổi mề đay, cần tìm đến bác sĩ ngay lập tức.

5. Kết Luận

Không tẩy giun lâu có thể gây ra nhiều nguy cơ sức khỏe nghiêm trọng. Việc hiểu rõ về các dấu hiệu nhiễm giun và thực hiện các biện pháp phòng ngừa là điều rất cần thiết để bảo vệ sức khỏe của bản thân và gia đình. Hãy nhớ rằng, sức khỏe là tài sản quý giá nhất, và việc duy trì sức khỏe thông qua tẩy giun định kỳ là một phần quan trọng trong lối sống khỏe mạnh. Nếu bạn có bất kỳ câu hỏi nào về tình trạng sức khỏe của mình hoặc cần tư vấn, hãy liên hệ với bác sĩ để được hỗ trợ kịp thời. Hãy chăm sóc sức khỏe của bạn ngay từ hôm nay để tránh những rủi ro không đáng có trong tương lai!
0 Thích
Chia sẻ
  • Chia sẻ Facebook
  • Chia sẻ Twitter
  • Chia sẻ Zalo
  • Chia sẻ Pinterest
Đọc nhiều
99+ Tranh tô màu búp bê giấy chibi cute dễ thương
99+ Ảnh Gái Xinh Cởi Đồ Không Che Khoe Thân Cực Hot
Ảnh gái tây khoe hàng,Hình Gái tây xinh đẹp thủ dâm khoe lồn không lông
Vẽ Tranh Bảo Vệ Môi Trường Bằng Giấy A3 Ý Nghĩa Sâu Sắc
Top 69+ Ảnh nữ sinh mặc áo dài phản cảm, xuyên thấu, siêu mỏng
 Bài viết liên quan
Cập Nhật Tin Chuyển Nhượng Chelsea nhắm Fermin Lopez CHIA SẺ
Cập Nhật Tin Chuyển Nhượng Chelsea nhắm Fermin Lopez

Thị trường chuyển nhượng đang bước vào những ngày cuối cùng đầy sôi động, và Chelsea một lần nữa trở...

Dàn Sao Trẻ Hứa Hẹn Bùng Nổ Tại World Cup 2026 CHIA SẺ
Dàn Sao Trẻ Hứa Hẹn Bùng Nổ Tại World Cup 2026

World Cup 2026 đánh dấu bước ngoặt lịch sử khi lần đầu tiên mở rộng lên 48 đội, mà còn...

Top 10 HLV vĩ đại nhất lịch sử Ngoại hạng Anh CHIA SẺ
Top 10 HLV vĩ đại nhất lịch sử Ngoại hạng Anh

Trong hơn 30 năm tồn tại của Ngoại hạng Anh (Premier League), huấn luyện viên luôn giữ vai trò trung...

Cách Tối Ưu Trình Giả Lập (Bluestacks/LDPlayer) Chơi Game Mượt Hơn CHIA SẺ
Cách Tối Ưu Trình Giả Lập (Bluestacks/LDPlayer) Chơi Game Mượt Hơn

Với sự bùng nổ của các cổng game đổi thưởng trực tuyến, không ít người chơi đã chuyển từ trải...

Top 5 Bản Hợp Đồng Thay Đổi Cục Diện Các Giải Lớn Hè 2025 CHIA SẺ
Top 5 Bản Hợp Đồng Thay Đổi Cục Diện Các Giải Lớn Hè 2025

Thị trường chuyển nhượng mùa hè 2025 vừa qua được xem là một trong những kỳ chuyển nhượng sôi động...

Bitly So Sánh Chính Sách Chuyển Nhượng Giữa Các Câu Lạc Bộ Lớn CHIA SẺ
Bitly So Sánh Chính Sách Chuyển Nhượng Giữa Các Câu Lạc Bộ Lớn

Thị trường chuyển nhượng bóng đá luôn là tâm điểm thu hút sự chú ý của giới truyền thông và...

Bảng Xếp Hạng Top Những Đội Bóng Mạnh Nhất Thế Giới CHIA SẺ
Bảng Xếp Hạng Top Những Đội Bóng Mạnh Nhất Thế Giới

Thế giới bóng đá luôn sôi động với những cuộc đua tranh chức vô địch gay cấn, những trận đấu...

Serhou Guirassy – Vua Phá Lưới Cúp C1 Champions League CHIA SẺ
Serhou Guirassy – Vua Phá Lưới Cúp C1 Champions League

Mùa giải 2024/2025 đã chứng kiến một câu chuyện cổ tích hiện đại khi tiền đạo Serhou Guirassy bùng nổ,...

Tất tần tật về roulette games cho người mới bắt đầu CHIA SẺ
Tất tần tật về roulette games cho người mới bắt đầu

Một trong những trò chơi phổ biến ở các Casino hiện nay là Roulette. Bạn đã biết Roulette là gì...

Tâm lý học trong cá độ bóng đá: Bí quyết để luôn làm chủ CHIA SẺ
Tâm lý học trong cá độ bóng đá: Bí quyết để luôn làm chủ

Cá độ bóng đá không chỉ là một trò chơi may rủi mà còn là một nghệ thuật đòi hỏi...

Tin mới
Sự Biến Mất Của "Số 10 Cổ Điển": Lời Chia Tay Những Nghệ Sĩ Cuối Cùng

Sự Biến Mất Của "Số 10 Cổ Điển": Lời Chia Tay Những Nghệ Sĩ Cuối Cùng

Bóng đá hiện đại đang chứng kiến sự tuyệt chủng của số 10 cổ điển, những "nhạc trưởng" hào hoa từng là linh hồn của mọi đợt tấn công.

17:10 19/01/2026 Sức Khỏe

Cập Nhật Tin Chuyển Nhượng Chelsea nhắm Fermin Lopez

Cập Nhật Tin Chuyển Nhượng Chelsea nhắm Fermin Lopez

Thị trường chuyển nhượng đang bước vào những ngày cuối cùng đầy sôi động, và Chelsea một lần nữa trở thành tâm điểm của mọi sự chú ý. Theo các nguồn tin uy tín, đội bóng Tây London đang ráo...

17:09 13/01/2026 CHIA SẺ

Dàn Sao Trẻ Hứa Hẹn Bùng Nổ Tại World Cup 2026

Dàn Sao Trẻ Hứa Hẹn Bùng Nổ Tại World Cup 2026

World Cup 2026 đánh dấu bước ngoặt lịch sử khi lần đầu tiên mở rộng lên 48 đội, mà còn là sân khấu huy hoàng để dàn sao trẻ triển vọng nhất thế giới hiện nay bước ra ánh sáng.

17:12 07/01/2026 CHIA SẺ

Vì Sao Bảo Mật Tài Khoản Online Ngày Càng Quan Trọng?

Vì Sao Bảo Mật Tài Khoản Online Ngày Càng Quan Trọng?

Khi mọi hoạt động từ giải trí đến giao dịch ngân hàng đều diễn ra trên không gian mạng, việc Bảo Mật Tài Khoản trở thành rào cản quan trọng nhất để bảo vệ tài sản và sự riêng tư của người dùng.

15:17 29/12/2025 Giáo Dục

Giải mã sức hút của các nền tảng giải trí trực tuyến đối với giới trẻ

Giải mã sức hút của các nền tảng giải trí trực tuyến đối với giới trẻ

Trong thập kỷ qua, thế giới đã chứng kiến một cuộc cách mạng về cách chúng ta tiêu thụ nội dung giải trí. Nếu như trước đây, việc giải trí gắn liền với không gian vật lý như rạp chiếu...

15:08 25/12/2025 Thú Cưng

Arsenal và thương vụ rủi ro Karim Adeyemi ở Ngoại hạng Anh

Arsenal và thương vụ rủi ro Karim Adeyemi ở Ngoại hạng Anh

Trong kỳ chuyển nhượng sắp tới, Arsenal và thương vụ rủi ro Karim Adeyemi ở Ngoại hạng Anh đang trở thành tâm điểm thu hút sự chú ý của giới mộ điệu. Dù sở hữu tốc độ "xé gió" và...

08:19 25/12/2025 Thú Cưng

Top 10 HLV vĩ đại nhất lịch sử Ngoại hạng Anh

Top 10 HLV vĩ đại nhất lịch sử Ngoại hạng Anh

Trong hơn 30 năm tồn tại của Ngoại hạng Anh (Premier League), huấn luyện viên luôn giữ vai trò trung tâm, quyết định thành bại của một câu lạc bộ. Nếu cầu thủ là người trực tiếp ghi bàn, kiến...

11:22 24/12/2025 CHIA SẺ

Cập Nhật Top Những Tiền Đạo Xuất Sắc Nhất Thế Giới

Cập Nhật Top Những Tiền Đạo Xuất Sắc Nhất Thế Giới

Mỗi mùa giải trôi qua, hàng loạt cái tên bùng nổ, nhưng chỉ một số ít thật sự vươn tầm “sát thủ” hàng đầu. Những tiền đạo này không chỉ làm nức lòng người hâm mộ bằng những siêu phẩm...

14:27 08/12/2025 Hình Ảnh Đẹp

Cách Tối Ưu Trình Giả Lập (Bluestacks/LDPlayer) Chơi Game Mượt Hơn

Cách Tối Ưu Trình Giả Lập (Bluestacks/LDPlayer) Chơi Game Mượt Hơn

Với sự bùng nổ của các cổng game đổi thưởng trực tuyến, không ít người chơi đã chuyển từ trải nghiệm trên điện thoại sang máy tính để có màn hình lớn hơn, thao tác dễ dàng hơn và đặc...

08:53 03/12/2025 CHIA SẺ

5 Nguyên Tắc Bảo Mật Khi Giao Dịch Online – Tránh Bị Lừa Đảo Qua Mạng

5 Nguyên Tắc Bảo Mật Khi Giao Dịch Online – Tránh Bị Lừa Đảo Qua Mạng

Thế giới ngày nay đang vận hành gần như toàn bộ trên môi trường trực tuyến: mua sắm, chuyển tiền, học tập, giải trí, và thậm chí là làm việc. Điều đó đồng nghĩa với việc mỗi giao dịch online...

09:39 10/11/2025 Giáo Dục

  • Điều khoản sử dụng
  • Chính sách bảo mật
  • Cookies
  • RSS
  • Giới thiệu
  • Điều khoản sử dụng
  • Chính sách bảo mật
  • RSS

© 2026 - bitly.vn

Trang thông tin tổng hợp
  • Trang chủ
  • Thú Cưng
  • Ẩm Thực
  • Nghỉ Dưỡng
  • Chia Sẻ
  • Hình Ảnh Đẹp
  • Làm Đẹp
  • Phong Thủy
  • Cây Cảnh
Đăng ký / Đăng nhập
Quên mật khẩu?
Chưa có tài khoản? Đăng ký